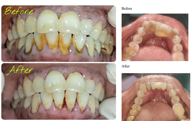
Periodontal disease (gum disease) is a chronic infection of the gums and supporting structures of the teeth. If left untreated, it can lead to gum recession, bone loss, and eventually, tooth loss. Early diagnosis and professional treatment are key.
Your gums are the foundation of your oral health. At Akshar Dental Health and Implant Centre, we specialize in periodontal procedures to treat gum disease, restore oral health, and prevent tooth loss. Using modern techniques and advanced diagnostics, our experienced periodontists offer gentle, effective care tailored to your needs.

Our Periodontal Procedures